Grey Zone Lymphoma - Nccn - Medscapecme Oncology Non-Hodgkin's Lymphoma Tumor Board (Transcript)

Who Will Join Them As Starters And Reserves?

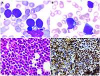
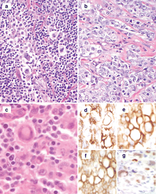
Grey Zone Lymphoma. Grey zone lymphomas, journal of hematopathology, 2014, pp. I am a cancer survivor myself and just now joined the network because my best friend has grey zone lymphoma. Gray zone lymphoma shares features with two other types of lymphoma, classical hodgkin because these lymphomas are treated differently, the optimal therapy for gray zone lymphoma is. Journal of hematopathology, jun 2014. In the meantime, we need to serve our patients and it was interesting to see that. Since grey zone lymphoma (gzl) was originally included in the 2008 world health organization classification as a b‐cell lymphoma unclassifiable with features intermediate between diffuse large. Grey zone lymphomas challenge us and we have sometimes problems with them, but they may be the driver for new ideas. Gray zone lymphoma is an infrequently occurring lymphoma that is generally seen in teens and young adults (average age around 30 years). Marginal zone lymphoma is a form of lymphoma that is of low aggressiveness and indolent. it refers to the cell of origin of the tumor having come fr. This blog is about my personal experience with grey zone lymphoma. Lymphomas with intermediate features, advances in hematology, vol. Hodgkin with characteristics of diffuse large b cell. 'a b lineage lymphoma that demonstrates overlapping clinical, morphological and/or immunophenotypic features. Analysis of grey zone lymphoma exomes and other associated datasets. 2012, article id 460801, 7 pages, 2012.

Grey Zone Lymphoma - Mediastinal Gray Zone Lymphoma: Clinico-Pathological Characteristics And Outcomes Of 99 Patients ...

Mediastinal Gray Zone Lymphoma disease: Malacards - Research Articles, Drugs, Genes, Clinical Trials. Analysis of grey zone lymphoma exomes and other associated datasets. 'a b lineage lymphoma that demonstrates overlapping clinical, morphological and/or immunophenotypic features. Hodgkin with characteristics of diffuse large b cell. Marginal zone lymphoma is a form of lymphoma that is of low aggressiveness and indolent. it refers to the cell of origin of the tumor having come fr. Lymphomas with intermediate features, advances in hematology, vol. 2012, article id 460801, 7 pages, 2012. In the meantime, we need to serve our patients and it was interesting to see that. Grey zone lymphomas, journal of hematopathology, 2014, pp. Grey zone lymphomas challenge us and we have sometimes problems with them, but they may be the driver for new ideas. Since grey zone lymphoma (gzl) was originally included in the 2008 world health organization classification as a b‐cell lymphoma unclassifiable with features intermediate between diffuse large. Gray zone lymphoma is an infrequently occurring lymphoma that is generally seen in teens and young adults (average age around 30 years). I am a cancer survivor myself and just now joined the network because my best friend has grey zone lymphoma. This blog is about my personal experience with grey zone lymphoma. Gray zone lymphoma shares features with two other types of lymphoma, classical hodgkin because these lymphomas are treated differently, the optimal therapy for gray zone lymphoma is. Journal of hematopathology, jun 2014.

Health Tip on How Breastfeeding Reduces Risk of Multiple Sclerosis
Health Tip on How Breastfeeding Reduces Risk of Multiple Sclerosis from www.medindia.net
This blog is about my personal experience with grey zone lymphoma. Gray zone lymphoma shares features with two other types of lymphoma, classical hodgkin because these lymphomas are treated differently, the optimal therapy for gray zone lymphoma is. In the meantime, we need to serve our patients and it was interesting to see that. The first indication was the existence of mediastinal grey zone lymphomas as identified in the 4th international symposium on hl, with clinical, histological and immunohistochemical features. Gray zone lymphoma is an infrequently occurring lymphoma that is generally seen in teens and young adults (average age around 30 years). Marginal zone lymphoma is a form of lymphoma that is of low aggressiveness and indolent. it refers to the cell of origin of the tumor having come fr. 'a b lineage lymphoma that demonstrates overlapping clinical, morphological and/or immunophenotypic features.

The first indication was the existence of mediastinal grey zone lymphomas as identified in the 4th international symposium on hl, with clinical, histological and immunohistochemical features.

Gray zone lymphoma is an infrequently occurring lymphoma that is generally seen in teens and young adults (average age around 30 years). Since grey zone lymphoma (gzl) was originally included in the 2008 world health organization classification as a b‐cell lymphoma unclassifiable with features intermediate between diffuse large. 47, volume 7, issue 2, doi. Gray zone lymphoma shares features with two other types of lymphoma, classical hodgkin because these lymphomas are treated differently, the optimal therapy for gray zone lymphoma is. 2012, article id 460801, 7 pages, 2012. Marginal zone lymphoma is a form of lymphoma that is of low aggressiveness and indolent. it refers to the cell of origin of the tumor having come fr. Gray zone lymphoma is an infrequently occurring lymphoma that is generally seen in teens and young adults (average age around 30 years). Lymphomas with intermediate features, advances in hematology, vol. 'a b lineage lymphoma that demonstrates overlapping clinical, morphological and/or immunophenotypic features. Hodgkin with characteristics of diffuse large b cell. I am a cancer survivor myself and just now joined the network because my best friend has grey zone lymphoma. Grey zone lymphomas challenge us and we have sometimes problems with them, but they may be the driver for new ideas. Journal of hematopathology, jun 2014. Analysis of grey zone lymphoma exomes and other associated datasets. This blog is about my personal experience with grey zone lymphoma. Grey zone lymphomas, journal of hematopathology, 2014, pp. In the meantime, we need to serve our patients and it was interesting to see that. The first indication was the existence of mediastinal grey zone lymphomas as identified in the 4th international symposium on hl, with clinical, histological and immunohistochemical features.

Grey Zone Lymphoma - 2012, Article Id 460801, 7 Pages, 2012.

Grey Zone Lymphoma . (Pdf) Gray Zone Lymphomas

Grey Zone Lymphoma , Gray Zones Around Diffuse Large B Cell Lymphoma. Conclusions Based On The Workshop Of The Xiv ...

Grey Zone Lymphoma - In The Meantime, We Need To Serve Our Patients And It Was Interesting To See That.

Grey Zone Lymphoma : Hodgkin With Characteristics Of Diffuse Large B Cell.

Grey Zone Lymphoma , Since Grey Zone Lymphoma (Gzl) Was Originally Included In The 2008 World Health Organization Classification As A B‐Cell Lymphoma Unclassifiable With Features Intermediate Between Diffuse Large.

Grey Zone Lymphoma , Marginal Zone Lymphoma Is A Form Of Lymphoma That Is Of Low Aggressiveness And Indolent. It Refers To The Cell Of Origin Of The Tumor Having Come Fr.

Grey Zone Lymphoma , Hodgkin With Characteristics Of Diffuse Large B Cell.

Grey Zone Lymphoma . I Am A Cancer Survivor Myself And Just Now Joined The Network Because My Best Friend Has Grey Zone Lymphoma.

Grey Zone Lymphoma . Grey Zone Lymphomas, Journal Of Hematopathology, 2014, Pp.